Research Lab

The Foundation is currently supporting laboratory research for dogs with cancer at Tufts BioLabs in Boston. The goal is to develop an effective immuno-therapy for dogs with cancer that has no or only minimal side effects and maintains the quality of life of the canine patient.

Preliminary studies by our group have shown that immune cells from human blood (so called Natural Killer (NK) cells) can kill canine cancer very effectively and also suppress its growth and expansion [Cellular Immunology 413 (2025) 104951].

The cancer killing effect of NK cells is carried out by highly active molecules that are stored inside the NK cells and that are only released upon contact with the cancer cells. These molecules are called Granzymes. The NK cells make another protein – Perforin – that punches holes into the membrane of the cancer cells which then allows the granzymes to enter the tumor

The Foundation’s research laboratory is developing methods to extract and enrich perforin and granzymes from NK cells along with other bioactive molecules that are present in NK cells.

The goal of the research is to assure that it is not necessary to use the entire NK cells to obtain an anti-cancer effect but rather get their Bio-Extract that contains all the active proteins/molecules and inject this biologically active cell extract directly into the dog’s cancer

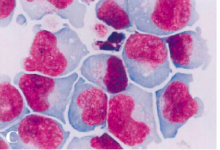
This picture shows NK cells from the blood smear of a patient with NK-cell lymphoma whose cells were harvested and used to establish the NK-92 cell line which is now used worldwide for cancer research and treatment (Cover of BLOOD Febr 1st, 1997, Vol. 89). The purple represents the nucleus of the cells which contains all the genetic information. The light blue area shows the cytoplasma with numerous vacuoles that contain all the effector molecules (perforin, granzymes, cytokines) that kill cancer cells.

This graph shows the killing of OSCA-40 dog osteosarcoma cells by NK Bio-Extract (green line). Even after a short – 30 minute – exposure of the cancer cells to the NK-92 Bio-Extract, over 80% of the OSCA-40 cancer cells are killed (compared to Medium control) (blue line) and the OSCA-40 cells are not growing back over the following 2-3 days [Cellular Immunology 413 (2025) 10495]

Studies in mice have also shown that the injection of the Bio-Extract from the human NK-92 cells into a mouse tumor will make their tumor regress. Importantly, the local injection of the NK Bio-Extract can also induce a vaccine effect: None of the treated mice developed a cancer when the same cancer cells were injected/implanted at another site of their body [Cellular Immunology 413 (2025) 104951]

The goal of the Foundations’ research is to characterize which canine cancers are particularly sensitive to killing by NK Bio-Extract and how we can maximize its effect. We welcome research proposals that will help us to achieve this goal. Since we already have developed a FDA compliant method of generating the Bio-Extract from NK cells, testing its potential in dogs with cancer will also be important.